
Hospital Star Médica: Consultorio 820 y 817. Av. P.º de la Victoria 4370, Partido Iglesias, 32618 Cd. Juárez.
Hospital Star Médica: Consultorio 820 y 817. Av. P.º de la Victoria 4370, Partido Iglesias, 32618 Cd. Juárez.
DISEÑO DE SONRISA
Carilla de Resina: $2,750 c/u
"Las carillas de alta estética corrigen manchas, desgaste y forma de tus dientes."
CONSULTA GRATUITA INCLUYE:


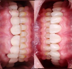
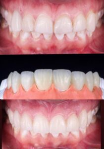
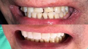
Galería de Sonrisas
El Procedimiento para colocar Carillas Dentales
Inicia tu transformación dental con una evaluación y diseño digital personalizado. Removemos mínimamente la superficie dental (hasta 0.5 mm) para las carillas, con un escaneo inicial para su fabricación. Dependiendo de tu caso, podrás probar carillas temporales para previsualizar el resultado. En la fase final, colocamos tus carillas definitivas con un cemento especial, optimizando el proceso a 2 o 3 visitas.
Evaluación Dental y Diseño De Sonrisa


Anestesia y Preparación Dental


Impresión y Fabricación De Carillas


Prueba y Cementación


Tipos de Carillas Dentales más Comunes
Es crucial, sin embargo, que explores y comprendas todas las alternativas disponibles antes de decidirte


Carillas de Porcelana
Las carillas de porcelana son el tipo de carillas preferido en la mayoría de los casos debido a su versatilidad y la cantidad de imperfecciones cosméticas que pueden corregir. Es importante destacar que las carillas de porcelana no pierden color ni brillo con el tiempo y tienen una vida útil de 10 a 15 años.


Carillas de resina compuesta
Las carillas de resina compuesta son menos invasivas aplicándose directamente sobre los dientes sin desgaste
¿Qué Problemas Puedo Solucionar Con Carillas Dentales?
Las carillas dentales son capas finas diseñadas a medida para mejorar la estética dental. Se adaptan a la forma de cada diente, ofreciendo una apariencia natural y realzando la sonrisa y confianza del paciente.


¿Para que funcionan las carillas dentales?
Las carillas ofrecen una solución duradera y estética para dientes descoloridos, astillados o malformados, resistiendo manchas para una sonrisa impecable.
Son una alternativa eficaz a tratamientos ortodónticos prolongados y costosos, con la posibilidad de aplicar series de 4, 6, 8 o 10 carillas en los dientes frontales para mejorar la alineación visual.
Ideales para corregir manchas, roturas, espacios, desigualdades, malformaciones o cualquier aspecto insatisfactorio de los dientes.


¿Cuáles son las diferencias entre las Carillas y las Coronas Dentales?
Si estás evaluando las diferencias entre coronas dentales y carillas, es crucial entender sus usos específicos. Las coronas actúan como capas protectoras para dientes dañados, ofreciendo resistencia y durabilidad, ideal para dientes que requieren restauración significativa.
Por otro lado, las carillas, siendo láminas delgadas, se enfocan en mejorar estéticamente la parte frontal de los dientes, perfectas para corregir decoloraciones o pequeñas imperfecciones, y uniformar tu sonrisa.
La elección entre ambos tratamientos dependerá de tus necesidades particulares.
Reserva hoy mismo tu consulta de diseño de sonrisa y descubre cómo podemos mejorar tu sonrisa con precios competitivos y facilidades de pago.
Excelencia Odontológica
En Valverde Dental, contamos con un equipo de especialistas con formación internacional en todas las áreas de la odontología moderna, ofreciéndote una atención de primera calidad. ¡Encuentra todas las especialidades odontológicas bajo un mismo techo!


El Mejor Cuidado Dental En Juárez
Última Tecnología
Nos enorgullece ofrecer instalaciones de vanguardia completamente equipadas y tecnología 3D de última generación.
Odontólogos Especialistas
Cada odontólogo del equipo es un especialista altamente entrenado en su área específica.
Laboratorio Dental Propio
Disponemos de nuestro propio laboratorio dental, lo que garantiza precisión, servicios puntuales, mayor rapidez y precios competitivos. ¡Gasta menos dinero por la misma atención de máxima calidad!
Tratamientos de Alta Calidad
Estamos comprometidos a ofrecer tratamientos dentales altamente eficientes y personalizados para cada paciente.
Áreas de Especialidad
Oferta Especial para Diseño de Sonrisa







Consulta Diagnóstica: GRATUITA:
Precios de Diseño de Sonrisa con Carillas de Resina:
Experiencia de 5 Estrellas
Cada individuo recibe atención personalizada, servicio de primera calidad desde el primer contacto, y la atención que merece una calificación de 5 estrellas.


Todo lo que necesitas para empezar a transformar tu sonrisa
Reserva hoy mismo tu consulta de diseño de sonrisa y descubre cómo podemos mejorar tu sonrisa con precios competitivos y facilidades de pago.
Copyright 2024, OdontoLab - Privacidad