
11 Calle 6-44 Zona 10, Edificio Airali, Nivel 9 Oficina 906, Ciudad de Guatemala 01010.
11 Calle 6-44 Zona 10, Edificio Airali, Nivel 9 Oficina 906, Guatemala 01010.
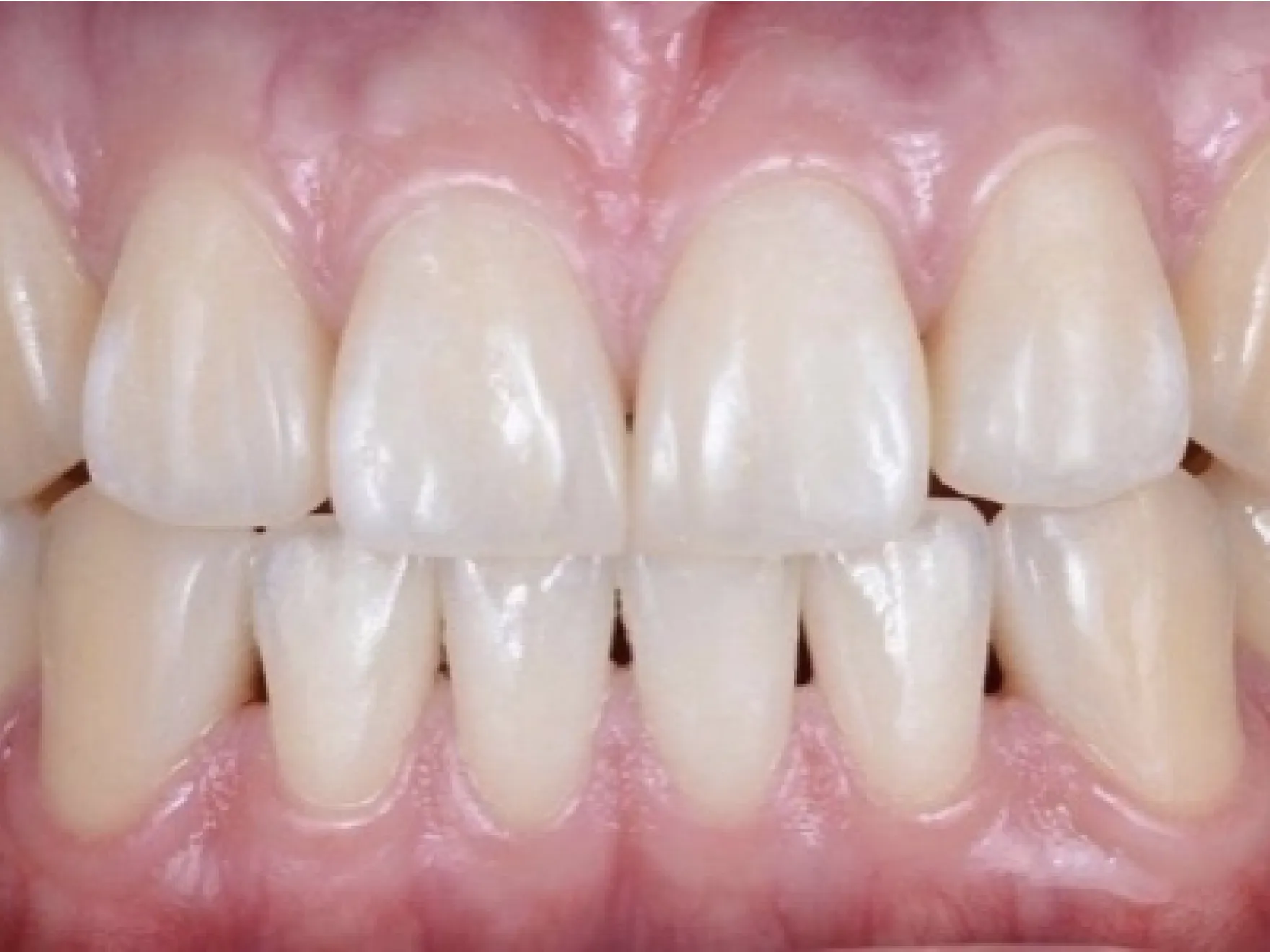
Revive tu Sonrisa y recupera tu confianza con la más alta calidad de Coronas Dentales en Guatemala
Oferta para Coronas y Puentes Dentales
Consulta Inicial Diagnóstica:
Precio Normal: $100 USD
Oferta Especial: Q.350 por tiempo limitado.
Precios Base de referencia - Coronas y Puentes Dentales:
Facilidades de pago disponibles: hasta 48 visacuotas disponibles.


Lo Que Dicen Nuestros Pacientes
”
Fui a esta clínica dental por años y lograron arreglar mi dentadura. Estoy muy agradecido con ellos. Recomendaría sin duda alguna esta clínica dental. Gracias Ceprosi!!
Carlos A. Chang Montero

”
Excelente servicio y atención, dedicados a la salud dental del paciente como primer lugar, sin duda los mejores y sus instalaciones excelentes top!!
Factor Alvarez

”
Excelente servicio, buenas instalaciones y Drs con muy buena atención!
Andreé Hernandez

”
Mi experiencia con mis cordales fue de máxima satisfacción, personal muy amable y altamente capacitados. Gracias Ceprosi.
Andree Hernandez

”
La mejor clínica dental que he ido en mi vida. El servicio al cliente es excelente y los procedimientos que me han realizado han sido todo un éxito, super profesionales y atentos. Recomendadisimo, no los cambiaría por nada
Josué Peralta

”
Muy atentos. Excelente servicio.
Juan Sis

Proceso de colocación de una Corona
Revisaremos tu salud general y oral, específicamente la condición de tus dientes. En este momento, se establecerá el diseño que mejor se adapte a ti, según tus facciones y gustos. En caso de que los dientes en los que se colocarán las coronas presenten cavidades muy profundas o alguna afección, nos encargaremos de resolver esta situación primero.
Después, bajo anestesia local en el área a tratar, prepararemos tus dientes para recibir las nuevas coronas. El limado, además de ser indoloro, debe ser bastante pronunciado para poder colocar el adhesivo y la nueva pieza dental.
Luego, tomaremos una impresión de los dientes para poder hacer el molde con el que se crearán las coronas. Una vez listo, se enviará al área del laboratorio y durante este proceso, que puede durar unas horas o un par de días, el especialista colocará coronas temporales para evitar la sensibilidad y molestias que puede generar la manipulación dental.
La segunda parte continuará una vez que se hayan completado las prótesis finales. Primero, probaremos que las coronas encajen perfectamente en tamaño y color. Si es así, procederemos a desinfectar el área y finalmente colocar las coronas con cemento definitivo.
Evaluación Dental y Planificación

Anestesia y Preparación Dental

Impresión y Fabricación De Coronas

Prueba y Cementación

Visión general y beneficios de las coronas
Los puentes dentales y las coronas son componentes protésicos fijos. Las coronas se usan principalmente para cubrir un espacio o un diente dañado, o para cubrir un implante. Pueden cementarse a los dientes naturales o a los implantes que sustituyen un espacio donde antes había un diente.
Tipos más comunes de Coronas
Las coronas pueden ser prefabricadas o elaboradas a la medida en nuestro laboratorio interno. Las coronas provisionales o prefabricadas están hechas de plástico o acrílico. Pueden usarse temporalmente hasta que se haga una corona permanente. Las coronas pueden estar hechas de: Todo Metal (oro), Metal-Porcelana, Porcelana, Zirconio, Cerámica o Resina Compuesta. Sin embargo, hoy hablaremos sobre las más utilizadas en la odotnología moderna.
Dependiendo de las necesidades estéticas, la resistencia, el espacio restaurativo disponible en la boca y los precios, se puede optar por uno de los siguientes tipos de coronas:

Coronas de Porcelana
Este tipo de corona es frecuentemente preferido por los pacientes debido a su apariencia y translucidez, lo que hace que se asemeje a los dientes naturales. Además, se considera una opción holística por estar libre de metales. Son la mejor opción para los dientes frontales, son altamente resistentes, aunque mucho más frágiles que el metal, metal/porcelana y el zirconio.

Coronas de Metal-Porcelana
Las coronas de metal-porcelana tienen una gran ventaja, ya que ofrecen lo mejor de ambos mundos: la resistencia de las coronas de metal y la apariencia de las coronas de porcelana. Se usan tanto en los dientes frontales como en los molares. Una de las desventajas de estas coronas es la línea oscura cerca de la encía que corresponde al metal en su interior.

Coronas de Zirconio
El uso del zirconio en Odontología es relativamente reciente. Este material de color blanco confiere un resultado muy natural y, al no tener una parte metálica, permite el paso de la luz. Los expertos recomiendan las coronas de zirconio para los dientes más visibles, ya que estas coronas, por su translucidez, no son tan voluminosas y gruesas como las anteriormente mencionadas.
Beneficios de las Coronas y Puentes Dentales
Por otro lado, están los puentes dentales, que son coronas unidas y sostenidas por dos dientes o implantes en los extremos. Al igual que las coronas, sirven para cubrir el espacio de un solo diente o varias piezas dentales. El puente está compuesto por dos partes: los dientes o implantes de anclaje (pilares) y los pónticos (dientes del puente o de relleno).
Además de mejorar la apariencia, los puentes y las coronas ayudan a la alineación y oclusión de los dientes. El espacio dejado por la falta de un diente puede hacer que los dientes restantes se muevan, lo que puede causar una mala mordida; los puentes y las coronas ayudan a evitar estos problemas.
Por último, pero no menos importante, las coronas y los puentes pueden durar muchos años si se colocan sobre dientes sanos y se fabrican y mantienen adecuadamente. Los puentes pueden durar hasta 10 años, mientras que las coronas duran alrededor de 15-20 años.
¿Cuándo se necesita una Corona Dental?

Las coronas y puentes deben colocarse en dientes con una estructura y raíces sanas, o en su defecto, en dientes tratados adecuadamente (caries o canales).
Aquí hay algunas situaciones en las que se pueden recomendar coronas:
- Mejorar la apariencia estética: Las coronas son una excelente opción cuando el paciente desea cambiar significativamente la forma, color o incluso la posición de los dientes.
- Corregir la mordida: Si no quieres someterte a un tratamiento con brackets, las coronas pueden ser la mejor opción, ya que, al eliminar la superficie del diente, se puede trabajar en el diseño completo de la sonrisa y corregir una mordida desalineada.
- Fortalecer o reparar un diente severamente dañado: Si tienes algunos dientes dañados, agrietados o rotos, las coronas pueden corregir fácilmente estos problemas.
- Reemplazar un diente faltante: Los implantes dentales cumplen la función de reemplazar la raíz de un diente faltante, las coronas sirven para cubrir el espacio superficial y ayudan a devolver la función masticatoria.
Galería de Sonrisas

La Joya de la Restauración Dental: Corona Dental
Bienvenido a Ceprosi Dental, donde creemos que cada individuo merece una sonrisa que brille en la salud, la función y la belleza. Nuestras coronas dentales representan nuestro compromiso con esta creencia, la fusión de tecnología avanzada, décadas de experiencia y una pasión eterna para ofrecer soluciones dentales excepcionales.
Coronas Dentales
Las coronas dentales, conocidas como "fundas", son esenciales en odontología restauradora. Estas envuelven y protegen los dientes, restaurando su forma y función, previniendo caries y resolviendo diversos problemas dentales. Se utilizan para restaurar dientes rotos, proteger dientes débiles, unir partes de dientes agrietados, disimular imperfecciones y sostener dientes con empastes grandes, así como en el anclaje de puentes dentales y la cobertura de implantes

Una Mezcla de Arte y Ciencia
Cada corona dental es una obra maestra, hecha a la medida con precisión para adaptarse a tu anatomía dental. Utilizando materiales y técnicas avanzadas, las coronas se fabrican en nuestro laboratorio interno, garantizando un ajuste y una estética perfecta.

¿Qué es un Puente Dental?
Un puente se coloca en un espacio donde faltan dientes y se une a un diente o implante. Sus dientes, conocidos como pilares, tienen la función de anclar el puente; un diente de reemplazo, llamado póntico, se une a las coronas que cubren el pilar, al igual que las coronas, también tienen diferentes opciones de materiales para puentes.

Profesionalismo y Experiencia
Coronas Estéticas
Las coronas personalizadas restauran la forma, el tamaño y la función de un diente, logrando un aspecto natural y duradero.
Sustitución Dental
Desde implantes hasta puentes, nuestras soluciones de sustitución de dientes están diseñadas para restaurar tanto la función como la estética a la perfección.
Cambio de Sonrisa
Una evaluación y un cambio de imagen exhaustivos, diseñados para transformar la estética y la función de tu sonrisa hasta alcanzar la perfección.

Tu Consulta Estética: El Primer Paso Hacia Una Sonrisa Deslumbrante
Tu viaje comienza con una consulta detallada. Nuestros dentistas expertos:
Comprenden Tus Necesidades
Escuchamos y entendemos tus aspiraciones y preocupaciones.
Realizan Un Examen Minucioso
Mediante herramientas de diagnóstico avanzadas, evaluamos el estado actual de tu salud dental.
Evalúan Los Procedimientos
Basándonos en la evaluación, recomendamos tratamientos adaptados a tus necesidades específicas.
Planifica El Viaje
Juntos, trazaremos un plan de tratamiento detallado, garantizando claridad y una visión compartida del resultado deseado.
Para comenzar tu viaje de odontología estética, simplemente ponte en contacto con nosotros y reserva tu cita gratuita.

Diferencias entre las Carillas y las Coronas Dentales
Si has llegado hasta aquí, probablemente tengas curiosidad acerca de las diferencias entre las coronas dentales y las carillas. Ambos tratamientos pueden mejorar la apariencia de tus dientes, pero hay algunos factores importantes a considerar al elegir entre ellos.
Coronas Dentales
Son como cubiertas o cascos que se colocan sobre los dientes dañados para protegerlos y restaurarlos. Son resistentes y duraderas, lo que las convierte en una excelente opción para los dientes que necesitan mucho trabajo
Carillas
Son láminas delgadas que cubren la parte frontal de tus dientes para darles un nuevo aspecto. Son ideales para corregir problemas menores como decoloración o astillas, y pueden hacer que tu sonrisa luzca más hermosa y uniforme.
En última instancia, la mejor opción de tratamiento para ti dependerá de tus necesidades y objetivos únicos.

¡Carillas, Coronas y Puentes en menos de 2 días!
En nuestra clínica dental, la excelencia se combina con la eficiencia. Gracias a nuestro laboratorio interno y la última tecnología, ofrecemos carillas, coronas y puentes personalizados en menos de 48 horas. Nuestra avanzada tecnología, que incluye diseño asistido por computadora (CAD) y fabricación asistida por computadora (CAM), garantiza restauraciones precisas y de alta calidad que se ajustan perfectamente a tus necesidades.
Esto significa que puedes disfrutar de la sonrisa que siempre has deseado en tiempo récord, sin sacrificar la excelencia en la atención. Tu sonrisa merece lo mejor, y estamos aquí para entregártelo. ¡Contáctanos hoy y descubre cómo podemos transformar tu sonrisa en menos de dos días!
Reserva hoy mismo tu consulta por coronas y puentes y descubre cómo podemos mejorar tu sonrisa con precios competitivos y facilidades de pago.
Excelencia Odontológica
En Ceprosi Dental, nuestro equipo de especialistas capacitados internacionalmente en cada rama de la odontología moderna, te garantiza una atención de clase mundial. ¡Todas las especialidades en el mismo lugar!

El Mejor Cuidado Dental En Guatemala
Última Tecnología
Nos enorgullece ofrecer instalaciones de vanguardia completamente equipadas y tecnología 3D de última generación.
Odontólogos Especialistas
Cada odontólogo del equipo es un especialista altamente entrenado en su área específica.
Laboratorio Dental Propio
Disponemos de nuestro propio laboratorio dental, lo que garantiza precisión, servicios puntuales, mayor rapidez y precios competitivos. ¡Gasta menos dinero por la misma atención de máxima calidad!
Tratamientos de Alta Calidad
Estamos comprometidos a ofrecer tratamientos dentales altamente eficientes y personalizados para cada paciente.
Áreas de Especialidad
Conoce a nuestros expertos
Nuestro equipo de especialistas capacitados internacionalmente en cada rama de la odontología moderna, te garantiza una atención de clase mundial. ¡Todas las especialidades en el mismo lugar!

Dr. Otto Rehwoldt
Director
Director Odontológico del staff de especialistas desde hace 23 años, Director Clínico de Procad Lab (laboratorio dental digital in-house) y Director General de Ankormed, representante en Guatemala de marcas líderes como Straumann Group y Neodent. Su amplio expertise abarca desde la distribución de los implantes dentales más vendidos a nivel mundial y biomateriales exclusivos de última generación, hasta la supervisión clínica para garantizar los estándares de calidad más altos en los tratamientos odontológicos de vanguardia que ofrece Ceprosi Dental.

Dr. Roberto Gordillo
Anestesiólogo
Anestesiólogo con amplia experiencia en sedación para pacientes en clínicas. Graduado como médico y cirujano con especialización en anestesiología por la Universidad de San Carlos, se destaca por su enfoque centrado en el paciente y su compromiso con la seguridad y comodidad durante los procedimientos médicos.

Dr. Alejandro Curan
Cirujano Maxilofacial
Egresado destacado de la Universidad Francisco Marroquín, es un cirujano maxilofacial reconocido y respetado. Con una especialización de renombre de la Universidad Pontificia Javeriana de Colombia, se desempeña actualmente como especialista jefe de cirugía maxilofacial en el Hospital San Juan de Dios. Su enfoque innovador y su compromiso con la excelencia han contribuido significativamente a ceprosi dental

Dr. ANTONIO Callejas
Periodoncista
Destacado especialista en periodoncia, con formación en la Universidad de San Carlos y especialización en la Universidad de Chile. Con una amplia experiencia en el tratamiento y prevención de enfermedades periodontales, ha ganado reconocimiento por su enfoque compasivo y sus soluciones personalizadas para sus pacientes.

DR. ALEJANDRO LÓPEZ
Cirujano Maxilofacial
Cirujano maxilofacial con amplia experiencia. Graduado de la Universidad de San Carlos de Guatemala, completó su postgrado en el Hospital General de Accidentes, donde se especializó en Cirugía Oral y Maxilofacial. Es un miembro destacado y activo de la Asociación de Cirugía Oral y Maxilofacial, y ha contribuido significativamente a nuestra clínica.

Dr. Javier Flores
Implantólogo
Dr. Javier Flores graduado de Cirujano Dentista de la Universidad Francisco Marroquín en Guatemala, cuenta con una maestría en Rehabilitación Oral e Implantología (prótesis y cirugía) en la Universidad Andrés Bello y el Branemark Osseointegration Center en Chile. También tiene un diplomado en Diseño de Sonrisa Digital -DSD-.
Es representante para Guatemala de la marca de implantes dentales Neodent (Straumann Group Brand) y cuenta con certificación de Speaker oficial y especialista en carga inmediata. Trabaja en practica privada como especialista desde el año 2006 y trabaja como docente e instructor clínico para la Universidad Francisco Marroquín en los departamentos de Rehabilitación Oral e Implantología avanzada desde el año 2021.

Dr. Francisco López
Endodoncista
Dr. Francisco Javier López Pineda. Promoción 27 del Liceo Javier. Cirujano Dentista egresado en 1993 de la Universidad de San Carlos de Guatemala. Estudios de post-grado en Endodoncia en la Universidad de San Luis Potosí, México en 1997-1998. Con 30 años de práctica clínica limitada a la Endodoncia. He tomado cursos de actualización en esta rama de la odontologia a nivel nacional e internacional desde 1997

Dr. Erick Padilla
Ortodoncista
Ortodoncista altamente experimentado que ha tratado a más de 10 mil pacientes con éxito. Titulado por la Universidad de San Carlos, se especializó en la Universidad de Long Island y en la New York University, lo que lo ha certificado como un experto a nivel internacional en su campo. Su enfoque centrado en el paciente y su amplia experiencia lo han consolidado como una autoridad en el ámbito de la ortodoncia.
Reserva hoy mismo tu cita de coronas y puentes y descubre cómo podemos mejorar tu sonrisa con precios competitivos y facilidades de pago.
Reserva tu cita hoy.
Experiencia de 5 Estrellas
En Ceprosi Dental, los pacientes no son números. Cada individuo recibe atención personalizada, servicio de primera calidad desde el primer contacto, y la atención que merece una calificación de 5 estrellas.

Décadas de Experiencia
Con años en la industria, nuestra experiencia asegura que cada procedimiento de corona es un testimonio de habilidad, conocimiento y dedicación.

Pasión por la Profesión
Nuestro trabajo no es sólo una profesión, es nuestra pasión. Nos encanta crear sonrisas y asegurarnos de que cada corona sea una obra maestra.

Preguntas Frecuentes
Todo lo que necesitas para empezar a transformar tu sonrisa
Reserva hoy mismo tu cita de coronas y puentes y descubre cómo podemos mejorar tu sonrisa con precios competitivos y facilidades de pago.
Copyright 2024, OdontoLab - Privacidad